• +39 081 427241
ITA / ENG

Sbiancamento denti

Home / Sbiancamento denti
Sbiancamento denti

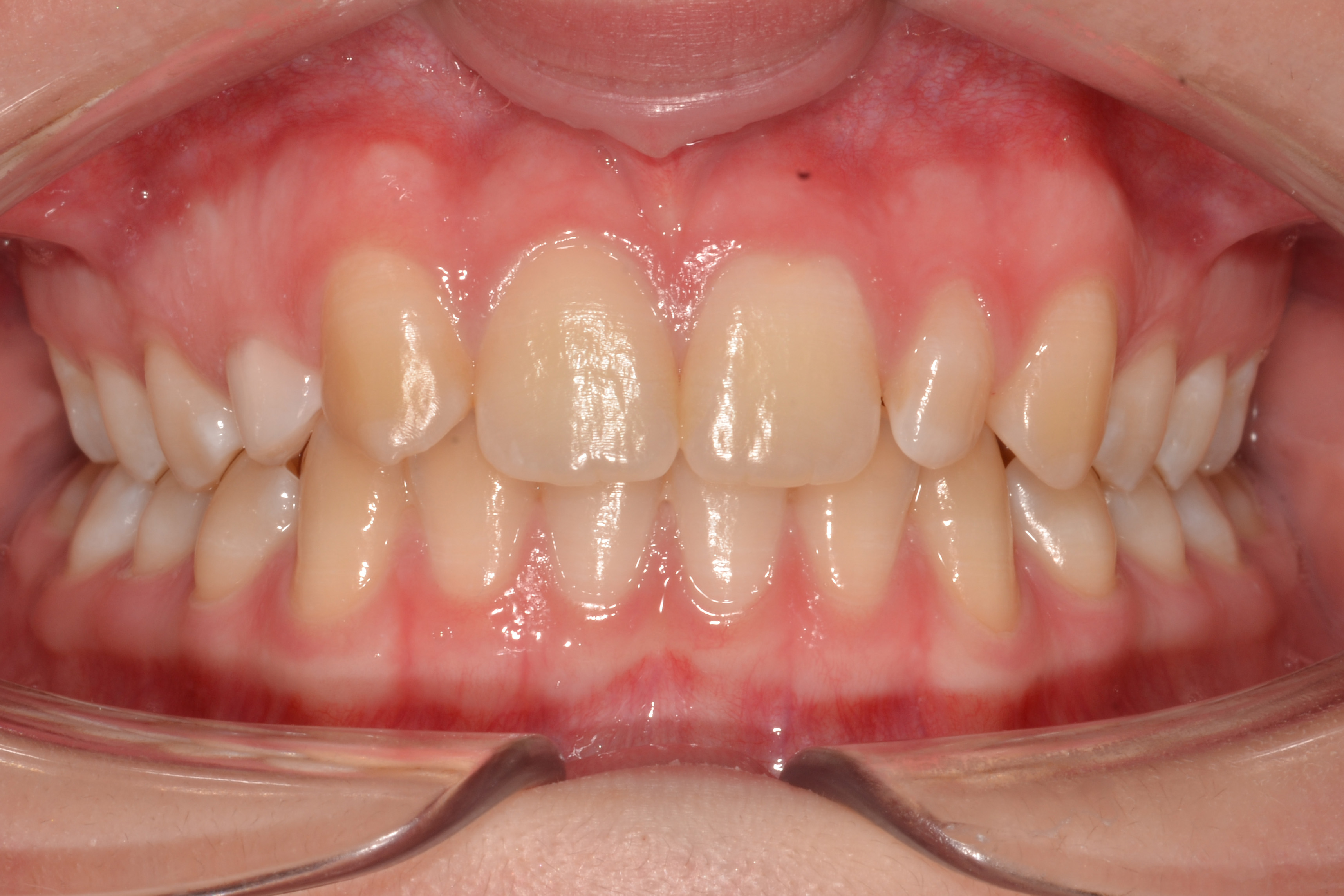
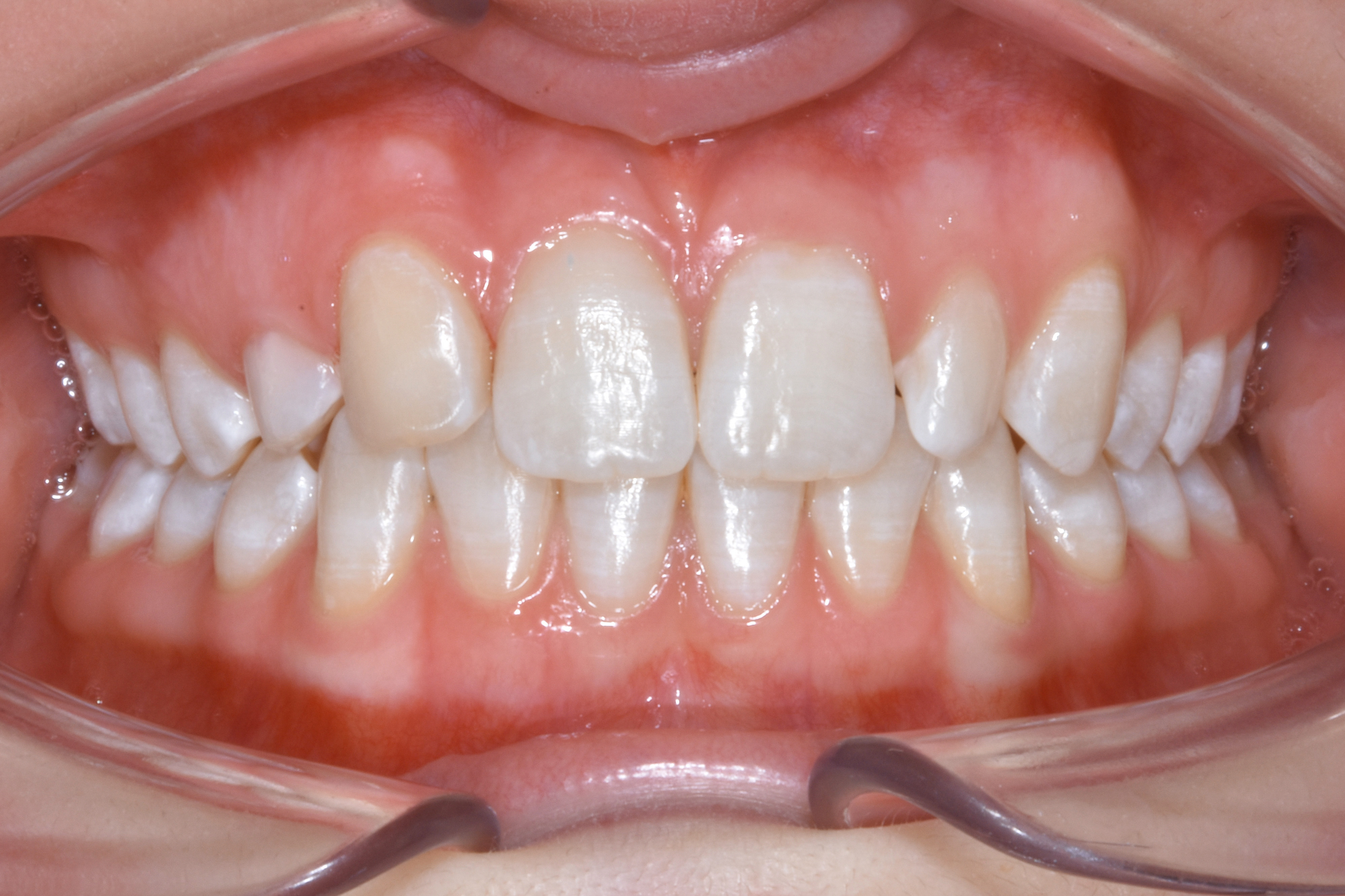
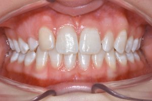
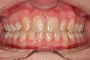
Lo sbiancamento dentale consente di modificare il colore dei denti o di riportare il colore dei denti al bianco e alla luminosità di un tempo. Nel nostro studio, lo sbiancamento dentale viene sempre associato ad una attenta visita di controllo per verificare lo stato di salute dentale e parodontale e ad una seduta di igiene orale professionale

Cosa sapere sullo sbiancamento dentale:

1. Lo sbiancamento non danneggia i denti. Non ci sono controindicazioni assolute ma solo relative all'individuale colore o alterazione delle corone dei denti da sbiancare. La presenza di corone, faccette, ricostruzioni in composito può rendere sconsigliabile lo sbiancamento dentale a meno che non si voglia successivamente modificare questi restauri di conservativa o protesici.

2. Lo sbiancamento non è doloroso. Dopo la seduta di sbiancamento i denti sono più sensibili. Questa aumentata sensibilità scompare dopo 48-72 ore. 

3. Lo sbiancamento può essere eseguito ad ogni età. Nel nostro studio consigliamo comunque una età minima al di sotto della quale non eseguiamo procedure di sbiancamento.

4. Lo sbiancamento non è a vita. Gli effetti durano anche oltre un anno ma variano a seconda delle abitudini del paziente. Fumo, bevande colorate e gassate, cibi colorati riducono la durata dello sbiancamento. Sono quindi necessari richiami periodici

5. Alcune macchie o colorazioni non reagiscono bene allo sbiancamento. Ad esempio macchie da tetracicline, colorazioni tendenti al grigio, decalcificazioni sono difficili da eliminare o modificare. Talvolta può essere necessario ricorrere a faccette o corone protesiche

Due diverse metodiche di sbiancamento sono utilizzabili (ed eventualmente associabili): lo sbiancamento professionale in studio in una sola seduta e lo sbiancamento domiciliare

Sbiancamento dentale professionale in studio 

Viene di solito ottenuto in una sola seduta. I materiali sbiancanti utilizzati sono attivabili o meno da una lampada a led. Nei 3-4 giorni successivi alla seduta di sbiancamento, il paziente deve osservare una dieta senza cibi o bevande colorate e gassate, non deve fumare e deve usare dentifrici specifici.

Sbiancamento dentale domiciliare

Dopo la seduta di igiene professionale, si procede all'impronta delle due arcate. Vengono confezionate due mascherine che sono consegnate insieme al gel sbiancante al successivo appuntamento. Il paziente viene istruito su come eseguire il trattamento a casa. Le mascherine possono essere riutilizzate per successive sessioni di sbiancamento

Chiedi una visita per verificare se e come è possibile migliorare il colore dei tuoi denti 

 

CCOSYSTEM

Il sistema CCO (Complete Clinical Orthodontics) è stato proposto ag ..

Read more

Corticotomia

La decorticazione alveolare è sempre stata associata al trattamento ..

Read more

Invisalign

..

Read more

Estetica

Un bel sorriso è considerato un simbolo di bellezza e benessere. E' d ..

Read more